Home About Us Services Contact Us Tooth Bleaching
Request an Appointment
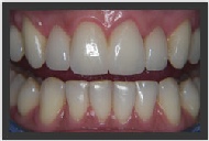
Better Smile A Better Smile?
Are You Looking For:
Home of Identist
Home About Us Services Permanent Makeup Contact Us Sitemap

Dr Jan J Nel qualified with a Bachelor of Dentistry from the University of Pretoria in 1986. He was awarded a Postgraduate Diploma in Endodontics  in 2001, also from the University of Pretoria and a Postgraduate Diploma in Implantology  in 2003 from the University of Stellenbosch.

He is a member of the South African  Dental Association and the South African Academy of Aesthetic Dentistry.

Dr Pieter W Labuschagne qualified with a Bachelor of Dentistry from the University of Pretoria in 1990 followed by a Postgraduate Diploma in Oral Surgery in 1992, after which he spent fifteen years in London (UK) furthering his studies in Aesthetic Dentistry. Since his return he has been practicing in Pretoria. He is a member of the South African Dental Association and the South African  Academy of Aesthetic Dentistry.

Elri Nel and Elize Oosthuizen qualified  as an Oral Hygienist at the University of Pretoria in 2007.

Zereldi and Denise together with Elmari, Slindile and Melita complete the team.

About Identist

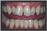
Before & After

Website developed by: 9727.068